cbpD基因对溶藻弧菌毒力及相关生物学特性的影响

Effects of cbpD gene on virulence and related biological characteristics of Vibrio alginolyticus

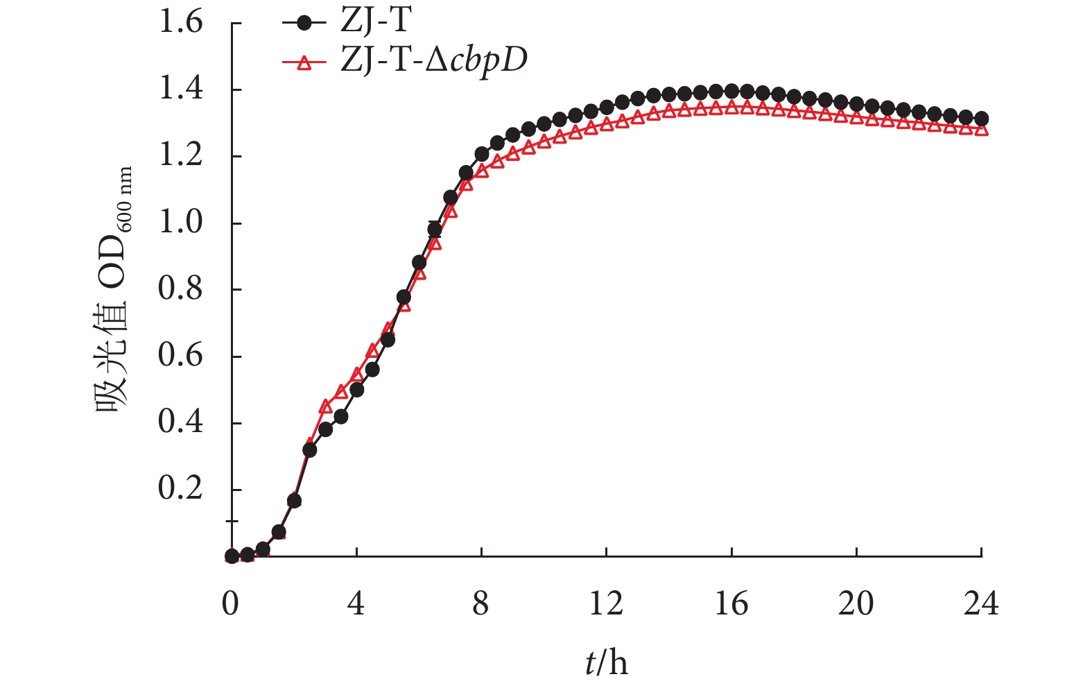
  • 摘要: 为研究几丁质结合蛋白 (Chitin-binding protein D, CbpD) 对溶藻弧菌 (Vibrio alginolyticus) 毒力和相关生物学特性的影响,通过同源重组技术构建溶藻弧菌ZJ-T的cbpD基因缺失突变株ZJ-T-ΔcbpD,比较突变株与野生株对斑马鱼 (Danio rerio) 的毒性,以及毒力相关生理过程,包括生长能力、运动性、胞外蛋白酶分泌活性、溶血活性、抗生素敏感性、生物膜形成、过氧化氢 (H2O2) 和铜离子 (Cu2+) 抗性以及铁离子 (Fe3+) 吸收能力的差异。研究发现,cbpD缺失后,溶藻弧菌对斑马鱼的毒力显著减弱,且细菌游动能力、涌动能力和胞外蛋白酶活性均降低,突变株对 Cu2+的抗性提高;cbpD的突变不影响溶藻弧菌在富营养培养基中的生长、生物膜的形成、溶血活性、对大部分抗生素敏感性、对H2O2的抗性和Fe3+的获取能力。结果表明,cbpD可能通过正调控溶藻弧菌的运动能力和胞外蛋白酶分泌活性,而促进溶藻弧菌的毒力。

     

    Abstract: In order to study the effect of the chitin binding protein D (CbpD) on the virulence and related biological characteristics of Vibrio alginolyticus, we constructed the cbpD gene deletion mutant strain of V. alginolyticus ZJ-T by homologous recombination technique. Then we compared the virulence to Danio rerio and other related physiological processes between the wild type strain and the cbpD gene mutant strain, including the growth ability, motility, extracellular protease secretion activity, hemolytic activity and antibiotic sensitivity, biofilm formation, hydrogen peroxide and copper ion resistance as well as ion absorption capacity. The results show that due to the absence of cbpD gene, the swimming motility, swarming motility and extracellular protease activity all reduced, while the resistance to copper ion of the mutant strain strengthened, and its virulence toD. rerio was weakened. However, the deletion of cbpD gene did not affect the growth of the strain in nutrient-rich medium, biofilm formation, hemolytic activity, stress response to H2O2, uptake and utilization of iron and sensitivity to most antibiotics. In conclusion, the results indicate that cbpD may promote the virulence by positively regulating the motility, extracellular protease secretion activity of V. alginolyticus.

     

/

返回文章
返回