Abstract:
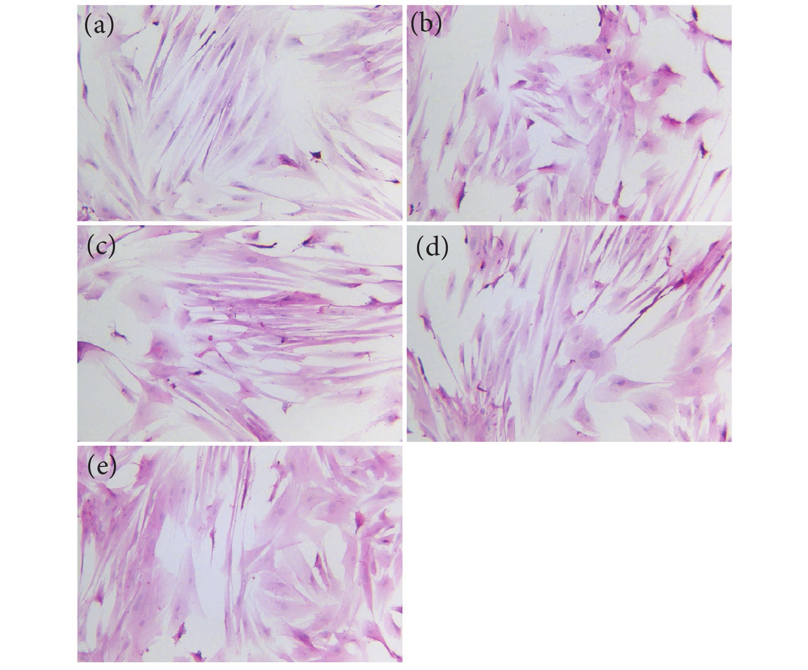
The study aims to evaluate the protective effect of Xiaochaihu Decoction (XCHD) on chemical hepatocyte injury. We treated the hepatocytes with D-GalN (20 mmol·L
–1) and LPS (1 μg·mL
–1) for 24 h to build a hybrid grouper (
Epinephelus lanceolatus♂×
E. fuscoguttatus♀) hepatocyte injury model, then pretreated the liver cells with different concentrations of XCHD (100, 200 and 400 μg·mL
–1) (D-GalN/LPS damage), and measured the hepatocyte viability by the CCK-8 assay. Hepatocyte morphology was visualized by HE staining, and cell supernatants were collected to detect the content of the inflammatory factors INF-, COX-2, and PGE2, as well as the expression of apoptotic and immune-related genes in the cell cryoprecipitate. The results show that XCHD can improve the survival rate of hepatocytes, inhibit INF-γ activity and coX-2 and PGE2 contents in the supernatant of hepatocytes induced by D-GalN/LPS injury to a different extent, reduce LDH, AST and ALT contents and apoptosis rate of hepatocytes. Besides, it had a significant protective effect on the structure of hepatocytes, significantly inhibiting the up-regulation of apoptosis-related genes caspase-3, caspase-9 and P53, and enhancing the up-regulation of immune-related genes TLR3. According to the data from the statistical analysis, the inhibition effect was most obvious in the 200 μg·mL
–1 XCHD group. In conclusion, XCHD has a protective effect on the chemical hepatocyte injury of
Epinephelus lanceolatus♂×
E. fuscoguttatus♀, and can prevent the occurrence and development of liver disease, which provides a new insight for the study of liver protection drugs in fish.