脂肪酶Sv-lip5的异源表达及其在虾青素酯水解中的应用

Heterologous expression of lipase Sv-lip5 and its application in hydrolysis of astaxanthin ester

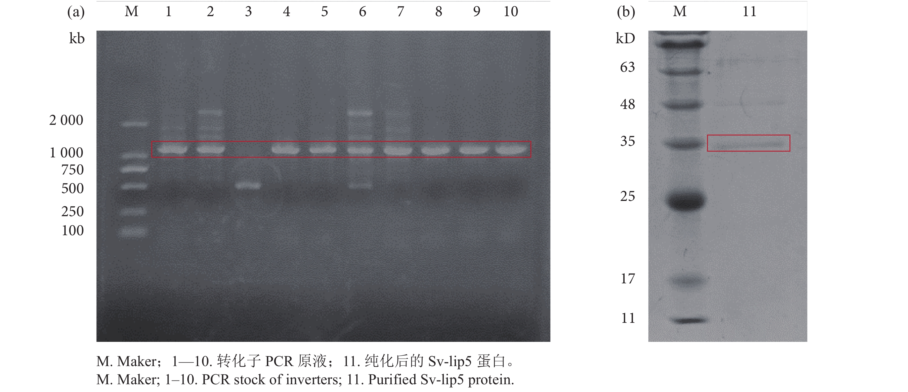
  • 摘要: 虾青素具有多种生理活性,但在自然界中通常以不同脂肪酸结合的虾青素酯形式存在,将虾青素酯水解为游离虾青素是提高其吸收利用度和制备特定构型虾青素酯的重要研究方向。以浅紫色链霉菌 (Streptomyces violascens ATCC 27968) 来源的脂肪酶Sv-lip5为研究对象,将其在枯草芽孢杆菌 (Bacillus subtilis) 中进行异源表达,分析其酶学性质并探究其在虾青素酯水解中的应用。结果显示,Sv-lip5的最适温度为45 ℃,最适pH为10.0 (Gly-NaOH缓冲液),在35~55 ℃条件下孵育21 h后仍有高于55.7%的酶活。Sv-lip5为耐碱性酶,在碱性条件下孵育48 h后相对酶活仍可保持在70%以上。Sv-lip5可有效水解雨生红球藻 (Haematococcus pluvialis) 油中的虾青素酯,以对硝基苯酚棕榈酸酯作为底物测定该酶的比活力为12.46 U·g−1,水解虾青素酯的最佳反应条件为pH 8.0,乙醇与缓冲液体积比为1∶12,最佳加酶量和时间分别为900 mg和12 h。在5.5 mL反应体系中添加900 mg的酶粉后,1 h有明显水解效果,第12小时可达最高水解率 (98.27%),200 μg虾青素酯中游离虾青素产量为147.48 μg,实现了游离虾青素的高效生物水解制备。

     

    Abstract: Astaxanthin has a variety of physiological activities, but its most common form in nature is astaxanthin ester bound with different fatty acids. Hydrolysis of astaxanthin ester into free astaxanthin is an important research direction to improve the absorption and utilization of astaxanthin ester and to prepare astaxanthin ester with specific configuration. In this study, we heterologously expressed Sv-lip5 derived from Streptomyces violascens ATCC 27968 in Bacillus subtilis to explore the enzymatic properties and its application in astaxanthin ester hydrolysis. The results show that the optimal temperature of Sv-lip5 was 45 ℃; the optimal pH was 10.0 (Gly-NaOH buffer); and the enzyme activity of Sv-lip5 was higher than 55.7% after incubation at 35−55 ℃ for 21 h. As an alkaline resistant enzyme, the relative enzyme activity of Sv-lip5 could remain over 70% after incubation for 48 h under alkaline conditions. Sv-lip5 could hydrolyze astaxanthin ester in Haematococcus pluvialis oil effectively. Using p-nitrophenol palmitate as substrate, the specific activity of Sv-lip5 was 12.46 U·g−1. The optimal hydrolysis conditions of astaxanthin ester were: pH of 8.0, ratio of ethanol to buffer of 1:12; and the optimal enzyme dosage and time were 900 mg and 12 h, respectively. After adding 900 mg enzyme powder to 5.5 mL reaction system, the hydrolysis effect was obvious in 1 h, and the highest hydrolysis rate was 98.27% at 12th hour. The yield of astaxanthin in 200 μg astaxanthin ester was 147.48 μg. This method is high-efficiency for the biological hydrolysis preparation of free astaxanthin.

     

/

返回文章
返回