罗非鱼无乳链球菌ΔessA、ΔessB、ΔessC敲除菌株的构建及其特性分析

Construction and characterization research of essA, essB and essC-deleted mutants in Streptococcus agalactiae from tilapia

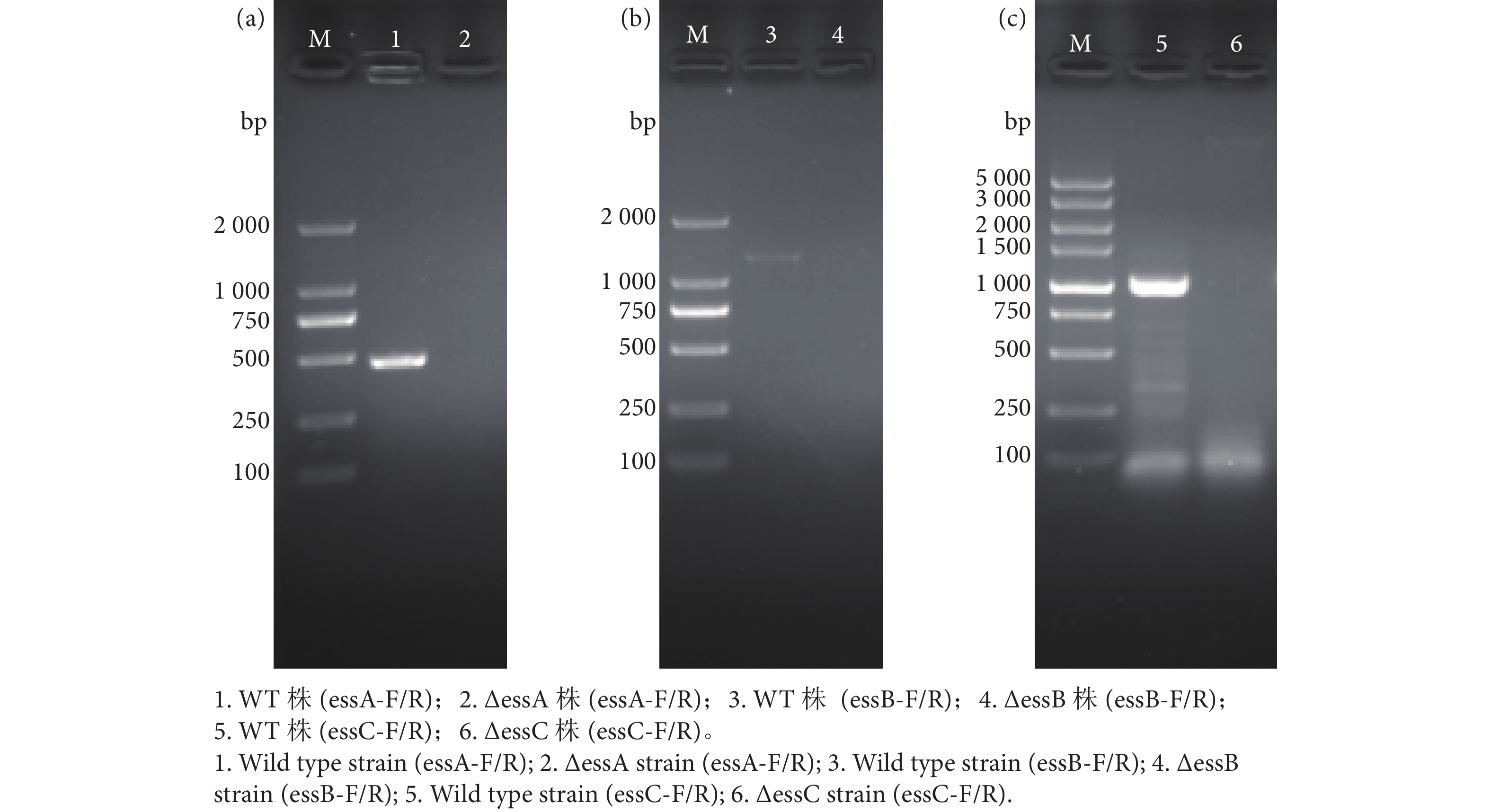
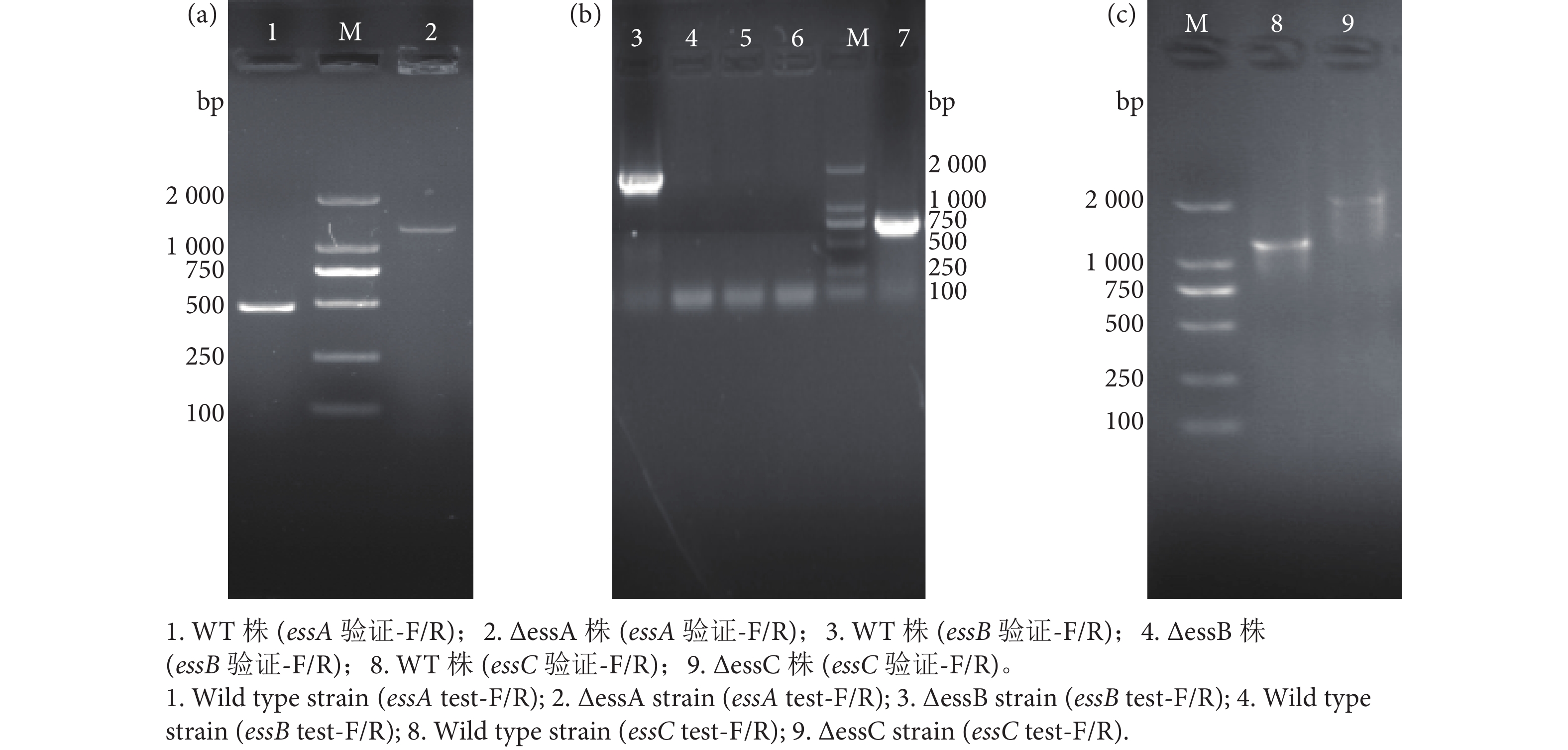
  • 摘要: VII型分泌系统存在于无乳链球菌 (Streptococcus agalactiae) 中,其组成膜蛋白对底物蛋白的分泌转运至关重要。为此利用热敏型自杀质粒,构建了含氯霉素筛选标签的膜蛋白重组敲除载体pSET4s-ΔessA、pSET4s-ΔessB、pSET4s-ΔessC,经同源重组后,利用PCR技术筛选到了其缺失突变株-无乳链球菌ΔessA、ΔessB、ΔessC。通过菌株生长曲线分析,ΔessA、ΔessB、ΔessC敲除株均较野生株 (WT) 生长过程变慢,其中ΔessA、ΔessB敲除株在生长早期有显著性差异 (P<0.01)。对ESAT6蛋白分泌影响分析显示,与WT株相比,ΔessA、ΔessB、ΔessC敲除株ESAT6的表达量均显著下调 (P<0.01)。结果显示,ΔessA、ΔessB、ΔessC敲除株均较WT株毒力显著降低 (P<0.01)。研究表明,essA、essB、essC为无乳链球菌VII型分泌系统重要的膜蛋白,其基因缺失造成了分泌蛋白ESAT6 mRNA表达水平下降,影响了菌株毒力。

     

    Abstract: The membrane proteins are critical to substrate protein secretion in VII secretion system existing in Streptococcus agalactiae. In this study, we constructed the membrane proteins knockout vectors with chloramphenicol tag including pSET4s-ΔessA, pSET4s-ΔessB and pSET4s-ΔessC, and after the homologous recombination, we screened the mutant S. agalactiae ΔessA, ΔessB and ΔessC via PCR assays. Based on the growth curve analysis, S. agalactiae ΔessA, ΔessB and ΔessC strains showed significantly slower growth process than the wild type strain (WT). ΔessA and ΔessB strains had significant difference in early stage of growth compared with WT strain (P<0.01). According to the secretion product analysis of ESAT6 protein, S. agalactiae ΔessA, ΔessB and ΔessC strains showed significantly lower ESAT6 product than WT (P<0.01). According to challenge test analysis, the deletion of essA, essB or essC gene significantly reduced virulence of S. agalactiae ΔessA, ΔessB and ΔessC compared with WT (P<0.01). The results suggest that essA, essB and essC proteins are important component membrane proteins of VII secretion system in S. agalactiae, and these genes deletions cause ESAT6 mRNA expression and virulence decline.

     

/

返回文章
返回