干露对克氏原螯虾成虾存活、相关代谢酶及组织结构的影响

Effects of desiccation on survival, metabolism-related enzymes and histological structure of adult red swamp crayfish (Procambarus clarkii)

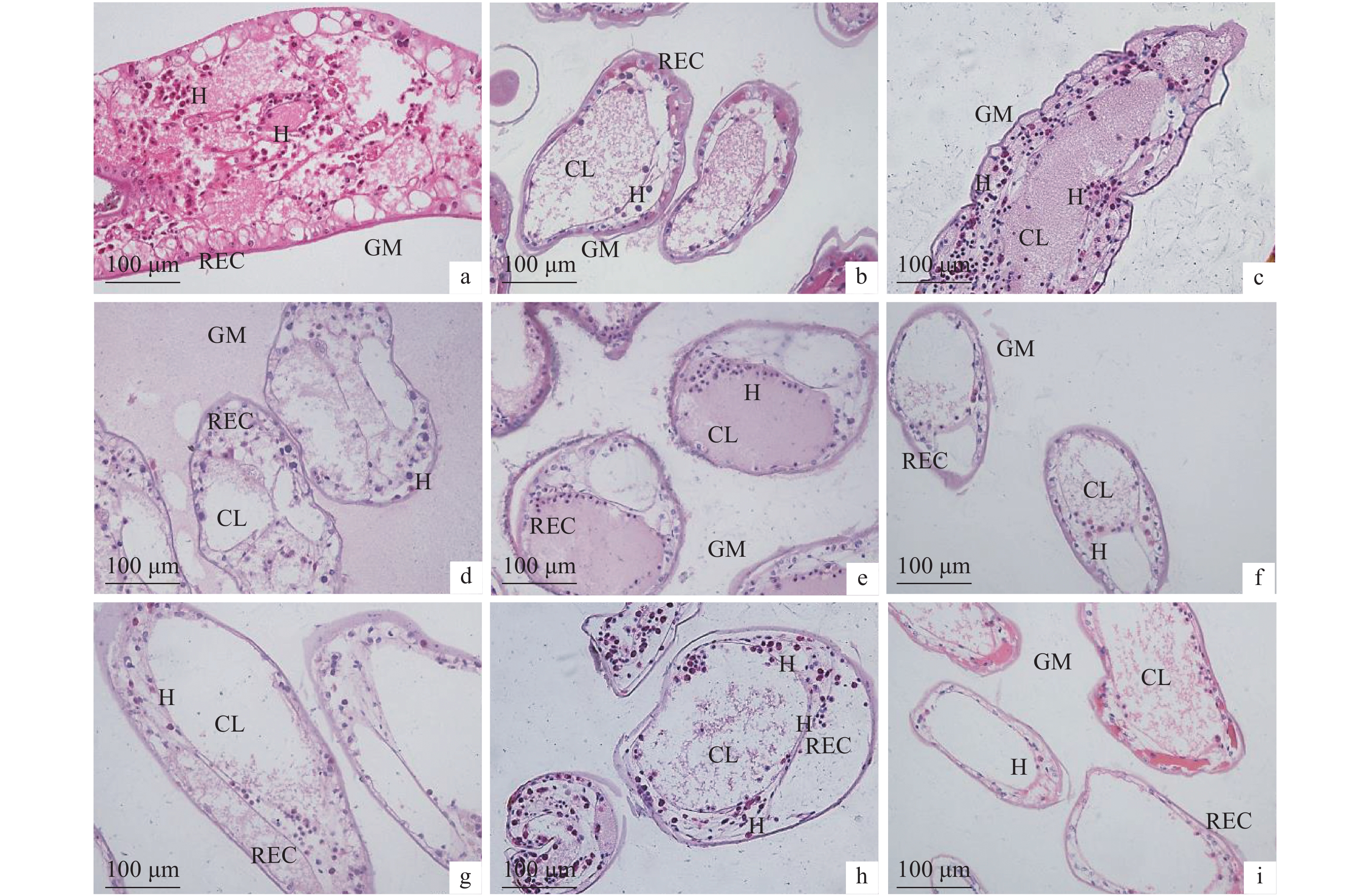
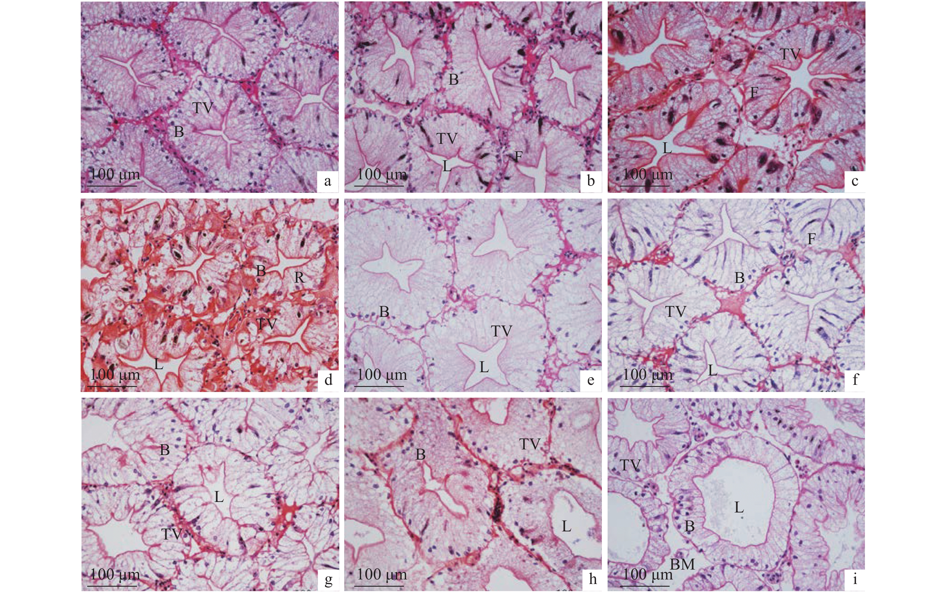
  • 摘要: 为研究干露对克氏原螯虾 (Procambarus clarkii) 成虾的影响,在 (16±1) ℃和相对湿度 (Relative humidity, RH) (55±5)%的条件下,对成虾进行0、3、6、12、24、36、48、60、72、96、132和144 h干露处理。结果显示,雄虾半致死时间 (LT50) 为148.36 h,雌虾LT50为144.01 h,两者体质量消耗率随干露时间的延长逐渐升高,雄虾在干露144 h后体质量消耗率达16.09%,雌虾在132 h后达15.87%。鳃、肝胰腺和肌肉组织结构随干露时间的延长损伤逐渐加剧。肝胰腺和肌肉乳酸脱氢酶 (LDH) 活力呈先上升后下降的趋势,雌、雄虾肝胰腺LDH分别在第24和第36小时达到最大活力值,肌肉LDH分别在第36和第48小时达到最大活力值,肌肉乳酸 (LA) 浓度呈现相似的变化趋势,雌、雄虾LA分别在干露第60和第48小时达到最大浓度。琥珀酸脱氢酶 (SDH) 活力在胁迫期间呈下降趋势。成虾在干露约第48 小时耐受能力达到极限,呼吸代谢由有氧呼吸逐步转换到以无氧呼吸为主,并伴有组织损伤。雌、雄虾的抗干露胁迫能力存在差异,在进行成体运输时干露时间不宜超过36 h。

     

    Abstract: To investigate the effects of desiccation on adult red swamp crayfish (Procambarus clarkii), we designed a desiccation stress for crayfish for 0, 3, 6, 12, 24, 36, 48, 60, 72, 96, 132 and 144 h under the conditions of (16±1) ℃ and (55±5) % relative humidity (RH). The results show that the half-lethal time (LT50) of male and female crayfish were 148.36 and 144.01 h, respectively. The mass consumption rate increased gradually with the extension of desiccation time; the weight consumption of male reached 16.09% of body mass after 144 h desiccation, while that of female reached 15.87% of body mass after 132 h desiccation. Besides, the histological structure damage of gill, hepatopancreas and muscle was gradually aggravated. Moreover, the activity of lactate dehydrogenase (LDH) in hepatopancreas and muscle first increased and then decreased. The maximum LDH activities of hepatopancreas in female and male were observed at 24th and 36th hour, while those of muscle in female and male were observed at 36th and 48th hour, respectively. The lactic acid (LA) content of muscle showed similar trend, with LA contents of female and male being the highest after 60 and 48 h desiccation stress, respectively. The succinate dehydrogenase (SDH) activity reduced significantly during desiccating. Furthermore, the desiccation tolerance of adult crayfish reached the limit after 48 h, and the respiratory metabolism gradually transformed from aerobic respiration to anaerobic respiration, accompanied by histological damage. In conclusion, the ability of resist desiccation between male and female is different. Thus, the desiccation time should not exceed 36 h when transporting adult crayfishes.

     

/

返回文章
返回